What is a pancreatic pseudcyst (PP)?
It is the collection of pancreatic fluid that is not enclosed within a sac with a proper epithelium. It forms within a cavity or space around the pancreas and is surrounded by fibrous tissue. PP contain inflammatory pancreatic fluid or semisolid matter. It generally presents 4 weeks after a case of acute pancreatitis.
PP have the following features:
-They are caused by acute or chronic pancreatitis
-Result from an interruption in the pancreas’ system of ducts
-Grow to variable sizes
-Are the most common pancreatic cystic lesions
-Are benign
-Affect 1 out of every 1000 adults each year.
What are the symptoms?
PP can remain without any evident symptoms. They can occur days or months after the first case of pancreatitis. The most common symptoms include:
- -Severe, persistent pain in the upper abdomen and, sometimes, the back
- -Nausea
- -Vomit
- -Bloating
How is it diagnosed?
PP can be difficult to diagnose because of the overlap in symptoms with other diseases. Because the pancreas is located deep within the abdomen, imaging studies are frequently used to localize and diagnose the PP.
Diagnostic studies may include:
- Abdominal ultrasound, makes use of sound waves to detect the PP or stones that can potentially cause a PP.
-
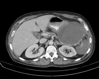
CT Scan can provide a more detailed image than ultrasound

- MRI

-
Endoscopic ultrasound (EUS) is usually used as a secondary test to evaluate a PP and distinguish it from other cystic lesions. The analysis of fluid obtained from the cyst by means of a needle can be used to tell cysts apparts.
-
Endoscopic Retrograde Cholangiopancreatography (ERCP) allows the visualization of the common bile duct and pancreatic duct.
How is a PP treated?
The majority of PP resolve on their own. However, when symptoms persists or complications arise, drainage of the cyst is indicated.
-
Endoscopic drainage is the ideal method of drainage. This method is non-invasive and less risky than open surgery.

-
Percutaneous drainage through a caterer
- Surgical drainage